561.391.1800
Woman happy smile photo
Home » Cosmetic dentistry » Dental Bridges

Table of Contents Click to jump to section

Real Dental Bridges Results

Posterior Teeth Replaced with Implants, before treatment photo, patient 1
Posterior Teeth Replaced with Implants, after treatment photo, patient 1

Posterior Teeth Replaced with Implants

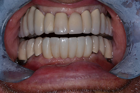
Complete Set of Implant-Supported Teeth, before treatment photo, patient 2
Complete Set of Implant-Supported Teeth, after treatment photo, patient 2

Implant Bridge Restoration
Before: 03/22/2022 | After: 04/02/2022
Patient: Ron Price

Improve Your Smile

Bridges are commonly used to replace one or more missing teeth. They span the space where the teeth are missing. Bridges are cemented to the natural teeth or implants surrounding the empty space. These teeth, called abutments, serve as anchors for the bridge. A replacement tooth, called a pontic, is attached to the crowns that cover the abutments. As with crowns, you have a choice of materials for bridges. Our skilled team at Boca Perio Implants can help you decide which to use, based on the location of the missing tooth (or teeth), its function, aesthetic considerations and cost. Porcelain or ceramic bridges can be matched to the color of your teeth so that you have a naturally gleaming smile.

The dentists at Boca Perio Implants have had extensive training and experience in the areas of Dental Bridges1. We also utilize the industry’s highest quality materials and standards of care. This means you can relax with the knowledge that you are in safe hands!

Happy woman photo
About the Procedure

About the Procedure

Types of Bridges

  • Adhesive Bridge (Maryland Bridge) – This is a” stick-on-type” Bridge, unlike a Fixed Bridge it involves the removal of very little tooth substance. It is cheaper than a Fixed Bridge but can only be fitted where the ‘bite’ is not very heavy.
  • Fixed Porcelain Bonded Bridge – This involves the preparation of the adjacent teeth just like a crown.
  • Cantilever Bridge – A Porcelain or Zirconium Bonded Bridge utilizing abutments on only one side of the missing tooth.

Dental Bridges FAQs

How long do bridges last on teeth?

Dental bridges can last between 5 – 15 years depending on the type of bridge and whether optimal oral hygiene is practiced.

What are the disadvantages of a dental bridge?

An ill-fitted bridge can cause tooth decay due to bacteria and plaque buildup inside the tooth and can also cause damage to the abutment teeth. Our team at Boca Perio Implants are specialists in the area of dental implants and bridges – our patients are consistently satisfied with the perfect fit, which leaves no room for these disadvantages.

How much is a dental bridge?

The cost of dental bridges varies depending on the type of bridge, the experience of your dentist, and whether additional procedures may be required. On average, a dental bridge could cost between $700 – $1,500.

How many teeth can be on a bridge?

A dental bridge can usually replace 1 – 4 teeth depending on the needs of the patient.

References

1 Healthline. Scott Frothingham. What is a dental bridge? Available: https://www.healthline.com/health/dental-bridge.

Get the Smile You Always Wanted

Contact Boca Perio Implants, committed to serve all communities around West Palm Beach, Boca Raton, Pompano Beach, Lake Worth, Boynton Beach and Delray Beach!

Contact Us Today!

About author - Dr. Julian C

About the Author

Dr. Julian C. Leichter is a Harvard Fellow, and Boca Raton’s trusted leader in periodontics with more than 40 years of experience in natural tooth preservation, and implant preservation. His periodontal techniques continue to nurture many healthy smiles throughout Florida, and beyond.

Learn more about Dr. Leichter

Click to Call Us Now!