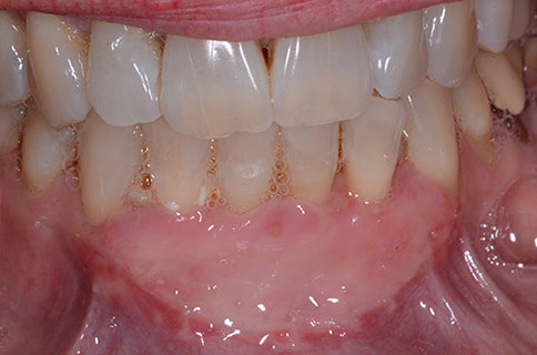
Gingival Root Coverage With Autogenous Palatal Mucosal Graft And Growth Factors.
Before: 08/24/2021 | After: 9/13/2022
“Aesthetic Crown Lengthening” (Upper & Lower Arch)
Before: 7/30/2022 | After: 9/13/2022
Patient: Chiona Chukvama
Inflamed, hard-to-clean cleft treated by establishing an attached, keratinized band of gingiva
Flat ridge architecture “plumped” to achieve an attractive emergence profile for the replacement tooth with root-coverage grafting
Short, square appearance of teeth corrected by gingival sculpting to expose a full smile
Even levels of gingiva achieved by tissue recontouring
Symmetric gingival frame re-established with corrective tissue grafting
Recession exposing metallic crown margins corrected prior to new restorations
Discolored root surface with decay corrected without the need for a restoration
Thin gingiva and advancing recession corrected with an adequate width and thickness of attached gingiva
Need More Details? We are happy to help!