561.391.1800
Woman happy smile photo
Home » Periodontal Services » Gum Grafting

Table of Contents Click to jump to section

Improve Your Smile

Dr. Leichter

Exposed tooth roots are the result of gum recession, and can distract from your smile. Gum graft1 surgery will repair the defect and help to prevent additional recession and bone loss. Gum grafts can be used to cover roots or develop gum tissue where absent due to excessive gingival recession that can affect your health and your appearance. Gum recession can be caused by age, poor oral hygiene, inadequate brushing, removable dentures, etc. It can make teeth highly sensitive when exposed to hot or cold temperatures.

Happy woman photo
Green Leaves

About the Procedure

Gum Grafting involves carefully placing some gum tissue in places where no gum tissue currently exists. It can help prevent gum recession or even bone loss. It will also help cover roots that become exposed. This procedure can help both restore your beautiful smile and protect your teeth.

Gum Grafting can also include:

  • Removing bacteria from under the gums
  • Making it easier to clean the teeth
  • Preventing future gum problems
  • Reshaping bones around the teeth

Who Is a Candidate?

Ideal Candidates for Gum Grafting are:

  • Severe periodontal disease2: A candidate who has suffered from severe periodontal disease (swollen or bleeding gums, deep pockets between the gums and the teeth) may find gums and teeth to be needing this procedure.
  • Gum disease3: Caused by bacteria installed in these pockets can hold even more bacteria, causing further inflammation. Afterwards, this can cause gum to pull away, roots to be exposed and teeth to look larger. As a result, the candidate can lose bone and suffer from pain.
Green Leaves

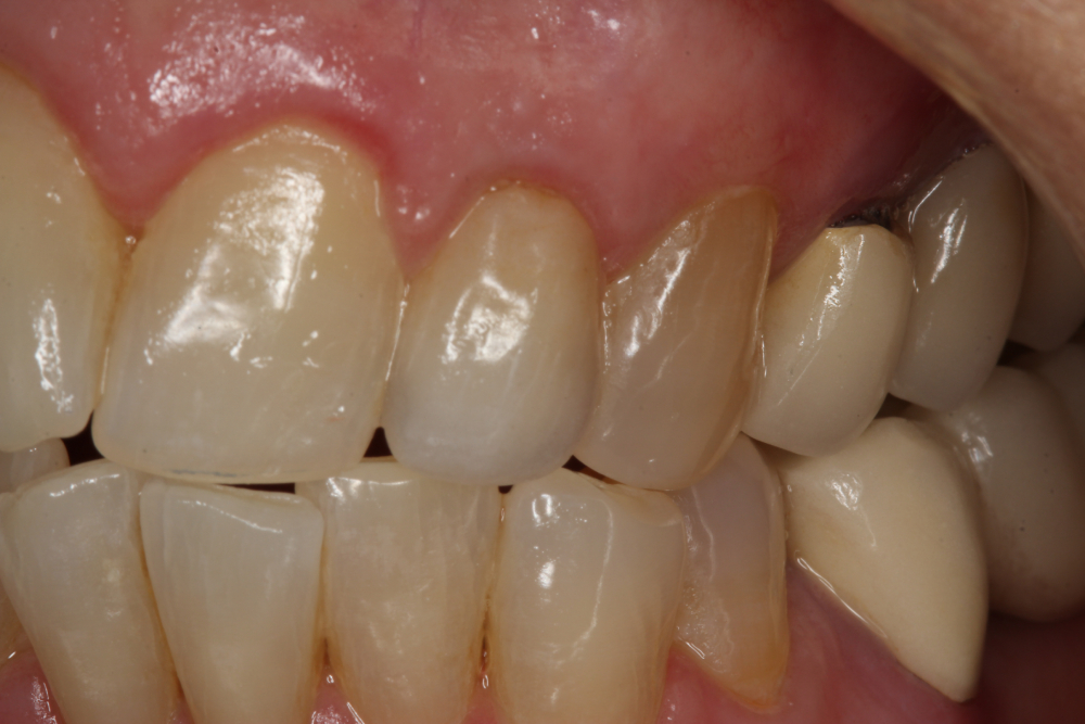
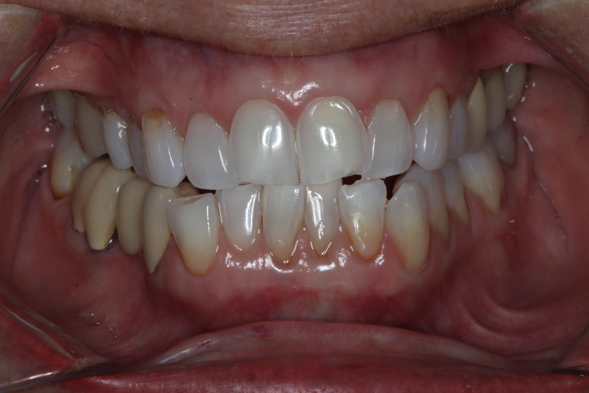
Before and After

BeforeBefore patient 1
AfterAfter patient 1
BeforeBefore patient 2
AfterAfter patient 2
BeforeBefore patient 3
AfterAfter patient 3
BeforeBefore patient 4
AfterAfter patient 4
BeforeBefore patient 5
AfterAfter patient 5
BeforeBefore patient 6
AfterAfter patient 6
BeforeBefore patient 7
AfterAfter patient 7
BeforeBefore patient 8
AfterAfter patient 8
BeforeBefore patient 9
AfterAfter patient 9
BeforeBefore patient 10
AfterAfter patient 10
BeforeBefore patient 11
AfterAfter patient 11
BeforeBefore patient 12
AfterAfter patient 12

Frequently Asked Questions

How can a gum graft help me?

It may help protect your teeth roots, teeth, gums and jawbones. It can also help improve the appearance of your teeth and the aesthetics of your smile, making gum appearance healthy and attractive.

How can a gum graft help me protect my teeth?

As gum recession can affect teeth roots being exposed, gum grafting will help teeth being protected from pain and even from total loss of teeth.

How long will it take to recover from gum grafting?

Complete recovery takes 6-8 weeks, yet it is a procedure that will help continue with everyday activities. Bleeding and discomfort may be felt. Patients must eat soft food for 2-3 weeks.

How many types of gum grafts are there?

We commonly use four types of gum grafts:

  • Pedicle gum grafts: donated by gum next to the gum recession.
  • Connective tissue graft: donated by tissue under the skin from other parts of the mouth.
  • Free gingival graft: donated by tissue from any other part including the skin.
  • Pinhole Procedure: collagen plumping used to cover exposed roots.

References

1 Healthline. Tim Jewell. Gum tissue graft: Why it’s needed and what to expect. Available: https://www.healthline.com/health/dental-and-oral-health/gum-graft.

2 Healthline. Jacquelyn Cafasso. What is periodontitis? Available: https://www.healthline.com/health/periodontitis.

3 WebMD. Gingivitis and periodontal disease (gum disease). Available: https://www.webmd.com/oral-health/gingivitis-periodontal-disease.

Get the Smile You Always Wanted

Contact Boca Perio Implants, committed to serve all communities around West Palm Beach, Boca Raton, Pompano Beach, Lake Worth, Boynton Beach and Delray Beach!

Contact Us Today!

About author - Dr. Julian C

About the Author

Dr. Julian C. Leichter is a Harvard Fellow, and Boca Raton’s trusted leader in periodontics with more than 40 years of experience in natural tooth preservation, and implant preservation. His periodontal techniques continue to nurture many healthy smiles throughout Florida, and beyond.

Learn more about Dr. Leichter

Click to Call Us Now!