561.391.1800
Aesthetic periodontics photo
Home » Periodontal Services » Aesthetic Periodontics

Table of Contents Click to jump to section

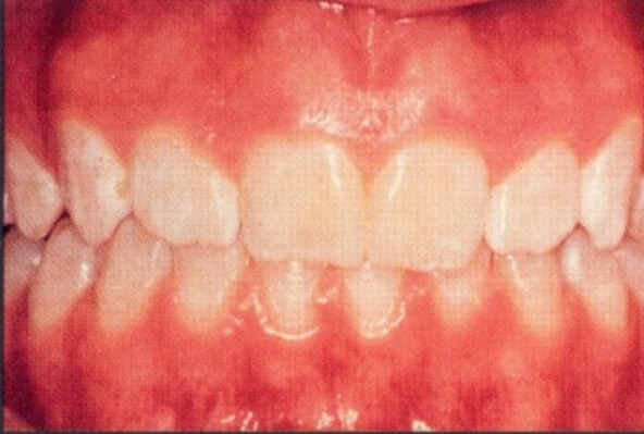
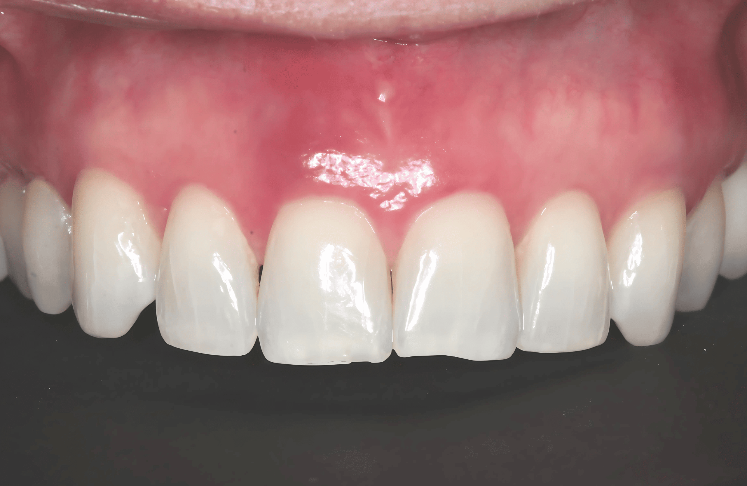
Real Aesthetic Periodontal Results

BeforePatient teeth, before Aesthetic Periodontics treatment, front view patient 1
AfterPatient teeth, after Aesthetic Periodontics treatment, front view patient 1

Short, square appearance of teeth corrected by gingival sculpting to expose a full smile

Improve Your Smile

These procedures are a predictable way to cover unsightly, sensitive, or exposed root surfaces and to prevent future gum recession1. If you are unhappy with the appearance of short unsightly teeth this can be greatly improved by a combination of periodontal procedures and cosmetic dentistry by our doctors.

Although your teeth appear short, they may actually be the proper length. The teeth may be covered with too much gum tissue. We can correct this by performing the periodontal plastic surgery procedure, crown lengthening.

Happy woman photo
Green Leaves

About the Procedure

During this procedure, excess gum and bone tissue are reshaped to expose more of the natural tooth. This can be done to more than one tooth, to even your gum line, and to create a beautiful smile.

Another cosmetic procedure is the soft tissue graft2. It is used to cover unattractive tooth roots, reduce gum recession, and protect the roots from decay and eventual loss.

Tooth loss causes the jawbone to recede and can lead to an unnatural looking indentation in your gums and jaw, an appearance of a general aging. The original look of your mouth may not be recaptured because of spaces remaining under and between replacement teeth. They may appear too long compared to nearby teeth.

Bone grafting following tooth loss can preserve the socket/ridge and minimize gum and bone collapse. There is less shrinkage and a more aesthetic tooth replacement for either a dental implant crown or fixed bridge around the replacement teeth.

Who Is a Candidate?

Ideal Candidates for aesthetic periodontics are my have:

  • Short teeth: Clinical crown lengthening3 to expose more of the teeth for an attractive smile or improved retention and restorative access.
  • Exposed Roots: Root coverage4 procedures to protect the roots from erosion, decay and sensitivity while providing an attractive, symmetric appearance.
  • Gum Recession: Establishment of a functional zone of attached, keratinized gingiva to prevent recession.
  • Restore Tissue5: Augmentation procedures to reestablish normal tissue contours for a more attractive and hygienic restorative result.
Green Leaves

Contact Us Today!

Whether you’re booking your first, or follow-up care appointment, we are excited to get you on our schedule!

Before and After

Patient teeth, before Gum Rejuvenation treatment, front view - patient 4 Patient teeth, after Gum Rejuvenation treatment, front view - patient 4
Patient teeth, before Gum Rejuvenation treatment, front view - patient 5 Patient teeth, after Gum Rejuvenation treatment, front view - patient 5
Patient teeth, before Gum Rejuvenation treatment, front view - patient 4 Patient teeth, after Gum Rejuvenation treatment, front view - patient 4
Patient teeth, before Gum Rejuvenation treatment, front view - patient 5 Patient teeth, after Gum Rejuvenation treatment, front view - patient 5

Frequently Asked Questions

Why are restorative dentists increasingly recommending periodontal plastic surgery for their patients?

In recent years, the demand for cosmetic den­tistry has steadily increased. This has been accompanied by higher patient expectations for an aesthetically pleasing final result. Even the finest restorative treatment can be an aesthetic disappointment if the periodontal component is not factored into the total treatment plan. With sophisticated surgical procedures, the periodontist can provide an ideal gingival frame for restorative dentistry. General den­tists, prosthodontists and orthodontists are increasingly coordinating treatment with the periodontist to achieve the highest level of health, symmetry and aesthetics. Often a collab­orative effort can be the difference that makes the difference in patient satisfaction.

What is the appropriate treatment sequence for aesthetic periodontal procedures?

Preprosthetic communication between the periodontist and the restorative dentist is necessary. Periodontal procedures are usually completed prior to the initiation of restorative treatment. In some cases periodontal surgery is appropriate while the patient has provisional restorations. Periodontal procedures should be completed before impressions are taken for final restorations.

What is the expected longevity of Esthetic Periodontal Surgery?

The long-term stability of periodontal plastic surgery is excellent. As with other periodontal procedures, long-term success is greatly enhanced by regular professional maintenance, effective plaque control and a stable, atraumatic occlusion.

What is periodontal plastic surgery?

These are sophisticated surgical procedures to enhance the color, contours, health and comfort of the periodontium. This often involves changing the level of the gingiva to establish the correct amount of tooth exposure. A key objective is a natural cosmetic result with little or no visual evidence that a surgical procedure has been performed.

What are the clinical indications for aesthetic periodontal procedures?

There are typically four applications for periodontal plastic surgery:

  • Clinical crown lengthening to expose more of the teeth for an attractive smile or improved retention and restorative access.
  • Root coverage procedures to protect the roots from erosion, decay and sensitivity while providing an attractive, symmetric appearance.
  • Establishment of a functional zone of attached, keratinized gingiva to prevent recession.
  • Augmentation procedures to reestablish normal tissue contours for a more attractive and hygienic restorative result.

Periodontal plastic surgery can be performed on an outpatient basis with local anesthesia and some form of sedation, if necessary.

References

1 Cleveland Clinic. Gum recession. Available: https://my.clevelandclinic.org/health/diseases/22753-gum-recession.

2 WebMD. Hedy Marks. Gum tissue grafts. Available: https://www.webmd.com/oral-health/gum-tissue-graft-surgery.

3 Pablo Santos de Oliveira, Fabio Chiarelli, José A. Rodrigues, Jamil A. Shibli, Vincenzo Luca Zizzari, Adriano Piattelli, Giovanna Iezzi, and Vittoria Perrotti. Aesthetic surgical crown lengthening procedure. Available: https://www.ncbi.nlm.nih.gov/pmc/articles/PMC4644817/.

4 Leandro Chambrone, Maria Aparecida Salinas Ortega, Flávia Sukekava, Roberto Rotundo, Zamira Kalemaj, Jacopo Buti, and Giovan Paolo Pini Prato. Root coverage procedures for treating localised and multiple recession‐type defects. Available: https://www.ncbi.nlm.nih.gov/pmc/articles/PMC6517255/.

5 H Suh. Tissue restoration, tissue engineering and regenerative medicine. Available: https://pubmed.ncbi.nlm.nih.gov/11204819/.

Get the Smile You Always Wanted

Contact Boca Perio Implants, committed to serve all communities around West Palm Beach, Boca Raton, Pompano Beach, Lake Worth, Boynton Beach and Delray Beach!

Contact Us Today!

About author - Dr. Julian C

About the Author

Dr. Julian C. Leichter is a Harvard Fellow, and Boca Raton’s trusted leader in periodontics with more than 40 years of experience in natural tooth preservation, and implant preservation. His periodontal techniques continue to nurture many healthy smiles throughout Florida, and beyond.

Learn more about Dr. Leichter

Click to Call Us Now!